CRUSH: Cranial Ultrasound Via Hemicraniectomy
AKA Hemicraniectomy Ultrasound: Point of Care Ultrasonography (HOCUS POCUS)
Vasisht Srinivasan, MD1-3, Holly Hilliard, BS, RDMS4, Jordan Bonomo, MD FCCM FNCS1-3
1University of Cincinnati Department of Emergency Medicine, 2University of Cincinnati Gardner Neuroscience Institute, 3University of Cincinnati Department of Neurology and Rehabilitation Medicine, 4 Philips Healthcare, Inc
Featured

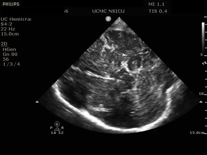
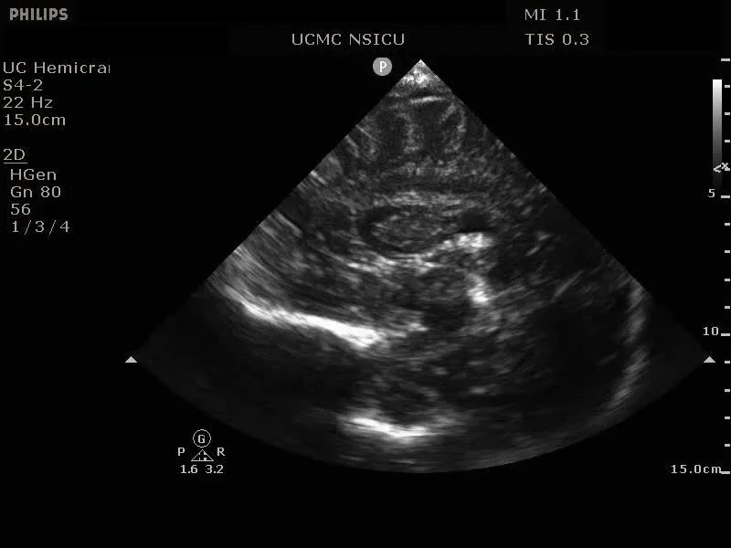
Video 1: Axial view demonstrating the midbrain, collicular plate, and falx












